近日,南宁市第二人民医院心血管内科一区张景昌主任团队成功为一名主动脉瓣重度狭窄患者顺利完成TAVR手术。CT显示患者心脏偏横位、结构扩张,影响跨瓣和瓣膜释放的同轴性。而且在一些层次缺乏足够的锚定力,这使得手术难度进一步增加,对操作和团队配合提出了更高的要求。
张景昌主任带领多学科团队在术前进行了缜密的分析,不断优化和完善手术策略。在手术过程中,多学科团队紧密配合,圆满完成了手术。患者术后血流动力学得到了明显改善,且没有发生并发症。
南宁市第二人民医院致力于为周边地区提供优质的医疗服务。这台TAVR手术的成功实施,不仅体现了结构心团队术者的高超手术技艺,也为患者的寿命和生活质量带来了显著改善。
病史资料:患者为一名老年男性,急性起病,病程长达2月余,最近再次发作2天。
主诉:患者为老年男性,急性起病,病程2月余,再发2天
就诊:患者及其家人曾先后到访广西多家医院,被诊断为主动脉瓣中重度狭窄、中度关闭不全。经过药物治疗,症状略有缓解,但仍反复发作。近期,胸闷和头晕症状逐渐加重。因此,患者和家属来到南宁市第二人民医院心血管内科一区寻求治疗。张景昌主任医师了解情况后,建议患者住院治疗。他详细询问了病人的情况,并查看了既往检查报告,认为患者可以选择经导管主动脉瓣置换手术(TAVR手术)作为治疗方式。这种方式不仅能有效治疗目前的主动脉瓣严重病变,同时还能免除开胸之苦。在与患者家属商议后,他们同意进行TAVR手术。在张景昌主任的协调下,医院为患者开通了绿色通道,并迅速完成了多种检查。
术前检查显示:超声提示主动脉瓣钙化并中重度狭窄、中度关闭不全,二、三尖瓣轻度关闭不全,左室增大,EF:55%。
超声提示:主动脉瓣钙化并中重度狭窄、中度关闭不全,二、三尖瓣轻度关闭不全,左室增大,EF:55%。
主动脉根部:功能型二叶瓣,瓣叶增厚,重度钙化,左右可见钙化融合。左冠开口高度约14mm,右冠开口高度约15.4mm。法式窦结构大,STJ高度约20.2mm、直径约30.6mm。升主动脉未见明显扩张,心脏角度约54°。左室大小尚可,心肌增厚。CT显示患者结构偏大,瓣环及流出道成敞口状。瓣上各辅助锚定区域处于临界值,给手术操作带来挑战。 请注意,我没有改变原文的意思。
功能型二叶瓣,瓣叶增厚,重度钙化,左右可见钙化融合,左冠开口高度约1 4mm,右冠开口高度约1 5.4mm,法式窦结构大,STJ高度约20.2mm、直径约30.6mm,升主动脉未见明显扩张,心脏角度约54°,左室大小尚可,心肌增厚。CT显示患者结构偏大,瓣环及流出道成敞口状,瓣上各辅助锚定区域处于临界值,给手术操作带来挑战
入路情况:主动脉弓部走行较平缓,可见少许钙化斑块。
主动脉弓部走行平缓,可见少许钙化斑块。主动脉弓部三根毛开口未见明显狭窄征象、未见发育变异。胸主动脉、腹主动脉走行较直,未见溃疡、钙化及非钙化斑块,管腔未见明显狭窄。双侧髂动脉-股动脉走形稍迂曲,可见少许钙化斑块,管腔未见明显狭窄。综合考虑,推荐右侧股动脉做为主入路。右侧股动脉穿刺水平管腔直径约为7.2mm,右侧股动脉分叉约在股骨头中部。
腹主动脉可见少许溃疡、钙化及非钙化斑块,管腔未见明显狭窄。双侧髂动脉-股动脉走形稍迂曲,可见少许钙化斑块,管腔未见明显狭窄。综合考虑,推荐右侧股动脉做为主入路。右侧股动脉穿刺水平管腔直径约为7.2mm,右侧股动脉分叉约在股骨头中部。
CT评估报告:






术前讨论
难点分析:
1患者患有功能型二叶瓣,瓣叶增厚,左右瓣叶间有钙化融合。左冠开口高度为14mm,右冠开口高度为15.4mm。法式窦结构较大,平均径为35.1mm。STJ高度为20.2m,直径为30.6mm。经过综合评估,在瓣膜释放过程中,位置难以控制,存在下滑移位甚至瓣中瓣的风险。
2心脏角度为54度,偏向横位,心脏输送器增加了瓣膜释放的难度。在瓣膜释放时,瓣膜与瓣环的同轴性较差。因此,我们选择使用VenusA-Pro第三代输送系统。
3患者是一位老年男性,经过外科会诊的综合评估,开胸手术相较于TAVR手术而言风险更高。患者家属并不愿意接受开胸手术,因此我们选择TAVR手术。
4升主动脉增宽,因此在手术中需要格外小心,避免使用暴力操作,以免造成主动脉血管夹层。
制定手术策略。
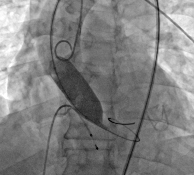
张景昌教授领导的团队对病例进行了多学科的综合分析评估。他们计划通过右侧股动脉入路,首选使用L32号VenusA-Valve瓣膜进行手术。此外,他们还使用了VenusA-Pro第三代可回收输送系统,相较于第二代输送系统,该系统具有更好的推送性和柔顺性。同时,他们对海波管进行了改进,在不降低推送性的同时提高了系统的柔顺性。这些改进旨在确保瓣膜的稳定释放、改善同轴性并降低冠脉风险。在瓣膜释放后,团队会结合造影和超声情况进行观察。
在手术过程中,DSA显示器起到了重要作用。



术后评估手术后的评估
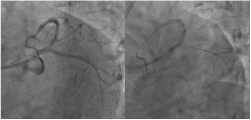
在瓣膜释放完成后,立刻进行了造影和超声评估。结果显示,患者跨瓣压差显著降低,超声检查没有发现瓣周漏,全主动脉和入路也没有出现并发症。手术圆满成功。
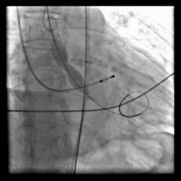
术中片段:



「关于主动脉瓣疾病」。

随着我国社会老龄化程度的不断加深,老年瓣膜病变的发病率也在不断上升。其中,主动脉瓣狭窄和主动脉瓣关闭不全已成为老年瓣膜退行性变中常见的疾病。这些疾病通常由感染性心内膜炎、风湿性心脏病、创伤性、先天性畸形或老年瓣膜退行性变引起。早期症状可能不明显,但随着病情的恶化,患者可能会出现呼吸困难、心绞痛、眩晕或晕厥等症状,严重时甚至会危及生命,对人们的健康造成严重威胁。
主动脉瓣疾病治疗方法——经导管主动脉瓣膜置换术(TAVR)
经导管主动脉瓣膜置换术(TAVR)是一种介入导管技术,它通过将人工心脏瓣膜输送至主动脉瓣位置,来完成人工瓣膜植入并恢复瓣膜功能。目前,TAVR已成为外科手术高危症状性重度主动脉瓣狭窄患者的替代治疗以及外科手术禁忌患者的首选治疗。
外科传统方法是开胸心脏瓣膜置换。然而,部分老年人身体机能较差,病情严重,常伴有其他疾病,无法耐受开胸手术。他们只能依靠药物支持治疗,无法逆转病程。由于外科开胸创伤较大,术后恢复时间较长。近年来,TAVR技术迅速发展,手术量也随之增长。与外科手术相比,TAVR手术创伤更小,术后恢复更快,疗效更佳。对于老年患者来说,TAVR手术是一种不错的选择。

张景昌先生。
南宁市第二人民医院心血管内科一区拥有一支结构心TAVR团队。
科主任,主任医师,教授
中南大学医学博士,主任医师,硕士研究生导师,曾在美国加州大学旧金山分校访问学者。
擅长冠心病、心律失常和结构性心脏病等心血管内科介入诊疗技术。曾任广西医学会心脏起搏与电生理起搏分会常委、广西非公立医疗机构协会内科专业委员会副主任委员、广西医师协会内科医师分会常委、广西医师协会医学模拟教育分会委员、广西预防医学会心血管疾病防治专业委员会常委和广西预防医学会医学编辑专业委员会委员。 参与完成国家和区内多个课题相关科研工作,并在国内外相关杂志上发表多篇论著。其中包括《心血管介入治疗技术》和《心血管疾病介入治疗》等。此外,他还参与编写了《心血管介入治疗技术》一书。 曾获得多项荣誉,包括广西医药卫生适宜技术推广奖、南宁市优秀青年专业技术人才和南宁市自然科学优秀论文等。